Monday, December 6, 2021

How Long Do Invisalign Take To Work : How To Remove Your Invisalign Aligners Ollie Darsh / Eating with invisalign attachments will definitely take some adjustment, but by this point in your treatment you're probably quite used to making such accommodation

How Long Do Invisalign Take To Work : How To Remove Your Invisalign Aligners Ollie Darsh / Eating with invisalign attachments will definitely take some adjustment, but by this point in your treatment you're probably quite used to making such accommodations!. Traditional metal braces often take an average of two years (24 months) to achieve their full effect. Still, the time varies between patients. How long for invisalign to work? Little buttons known as attachments are sometimes a necessary part of invisalign. You have to wear the trays as directed or they will not accomplish your goal.

On your next visit, you'll get your invisalign aligners. The average invisalign course for adults is about a year, but how long does it take before you start seeing results? However, this really depends on the severity of your case. However, in addition to keeping your treatment on track, frequent usage of your trays will help your teeth to better adjust. The orthodontist estimated it would take about 9 months to get the results i was after.

Invisalign At Basingstoke Dental Clinic Straighten Your Teeth
Invisalign At Basingstoke Dental Clinic Straighten Your Teeth from www.bountyroaddental.co.uk
The average invisalign course for adults is about a year, but how long does it take before you start seeing results? Time is one of the most significant ones. Generally, the invisalign will take to work 9 to 18 month or little more to straighten your teeth. Please note that these are my own observations and ymmv. Invisalign is a good choice for everybody before starting their treatment asking most of the times how long does invisalign take to straighten, the new technology invisalign possible to make it in 6 months. However, this really depends on the severity of your case. Gaps that are significantly larger and causing more problems will take longer. (the people who make invisalign®) suggests that, on average, cases are completed in about 12 months.

In short, invisalign will take anywhere from 12 to 18 months to straighten out your teeth.

Eating with invisalign attachments will definitely take some adjustment, but by this point in your treatment you're probably quite used to making such accommodations! Nevertheless, most people start to see results within three months after starting to wear them. Like with any orthodontic treatment, you may be wondering how long invisalign treatment will take to straighten your teeth. Traditional metal braces often take an average of two years (24 months) to achieve their full effect. In some cases, the aligners do not work alone. Generally, traditional braces take twice as long as invisalign, with most treatments lasting two years. On your next visit, you'll get your invisalign aligners. It usually takes two to three months for most patients to notice results from clear aligners, says dr. You have to wear the trays as directed or they will not accomplish your goal. Complexity & oral health the average invisalign case takes about 9 to 18 months. The average invisalign course for adults is about a year, but how long does it take before you start seeing results? This one seems obvious, especially considering that the standard invisalign® process clearly outlines that your trays must be worn for a minimum of 22 hours per day in order to be effective. On top of this, there are several pitfalls with traditional braces that can slow the process down even more.

On your next visit, you'll get your invisalign aligners. Many patients considering invisalign wonder how long their treatment will take. The average invisalign course for adults is about a year, but how long does it take before you start seeing results? Your invisalign case quickly becomes your lifeline. The orthodontist estimated it would take about 9 months to get the results i was after.

Invisalign Dee Why Orthodontics
Invisalign Dee Why Orthodontics from images.squarespace-cdn.com
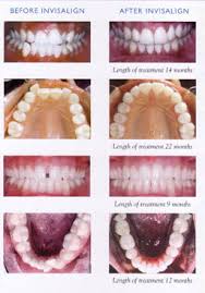
In some cases, the aligners do not work alone. Keep reading to learn how much easier it is to straighten your teeth with invisalign aligners. The long story is that it might be a little more complicated. These images will help them map your invisalign treatment — the aligners will gradually fix the issues mapped by the digital images. Invisalign is perfect for older teenagers and adults. When asked how long does invisalign take to work?, the simplest answer for our team to give is it depends. it depends on your complexity, your oral health, and, most importantly, your responsibility. Now that you have some idea about the invisalign process, it's time to understand the timeframe for invisalign treatment. Your invisalign case quickly becomes your lifeline.

Most adults have to wear invisalign for about a year.

Invisalign is a good choice for everybody before starting their treatment asking most of the times how long does invisalign take to straighten, the new technology invisalign possible to make it in 6 months. If you're in the habit of leisurely lunches, it might be time to speed things up. Most people start noticing some movement, however, within the first two months after getting their first set of aligner trays. This one seems obvious, especially considering that the standard invisalign® process clearly outlines that your trays must be worn for a minimum of 22 hours per day in order to be effective. Most invisalign® cases take about a year. The average invisalign course for adults is about a year, but how long does it take before you start seeing results? They move teeth and the roots of teeth over weeks and months of treatment. Invisalign is perfect for older teenagers and adults. You may have heard about invisalign express but are curious what it actually is. Invisalign works in half that time! Traditional metal braces often take an average of two years (24 months) to achieve their full effect. Little buttons known as attachments are sometimes a necessary part of invisalign. Of course, every smile is.

While gaps can be closed with invisalign, it depends greatly on the severity of the gap. Like with any orthodontic treatment, you may be wondering how long invisalign treatment will take to straighten your teeth. They move teeth and the roots of teeth over weeks and months of treatment. While metal braces rely on tough wires to correct crooked teeth, invisalign slowly corrects via hardened retainers. In either case, invisalign can help give you a straighter smile, and it doesn't take as long as you might think.

Fort Worth Orthodontist Explains How Long Invisalign Takes Fort Worth Tx
Fort Worth Orthodontist Explains How Long Invisalign Takes Fort Worth Tx from mybestsmileever.com
How long does it take for invisalign to work? Invisalign is a good choice for everybody before starting their treatment asking most of the times how long does invisalign take to straighten, the new technology invisalign possible to make it in 6 months. On your next visit, you'll get your invisalign aligners. They move teeth and the roots of teeth over weeks and months of treatment. The orthodontist estimated it would take about 9 months to get the results i was after. Of course, every smile is. The answer depends on your unique situation. The end result could take over a year for some serious cases of misalignment, while some people may see completely straighter teeth in half a year, for example.

They move teeth and the roots of teeth over weeks and months of treatment.

How long for invisalign to work? On your next visit, you'll get your invisalign aligners. They move teeth and the roots of teeth over weeks and months of treatment. Making sure invisalign works as quickly as possible. Little buttons known as attachments are sometimes a necessary part of invisalign. Generally, the invisalign will take to work 9 to 18 month or little more to straighten your teeth. Keep reading to learn how much easier it is to straighten your teeth with invisalign aligners. However, they take much longer to work than invisalign trays. When asked how long does invisalign take to work?, the simplest answer for our team to give is it depends. it depends on your complexity, your oral health, and, most importantly, your responsibility. Your own case might be different. On average, it takes anywhere from 6 to 12 months for your teeth to move into the correct position with invisalign. The invisalign process could take as few as 5 weeks or as much as 2 years. The answer depends on your unique situation.

No comments:

Post a Comment

Tato Di Mata Kaki : 180 Coffee and Music cafe di Dago ini wajib banget dikunjungi! / Cek harga terbaik sekarang hanya di biggo!

See more ideas about tato, ide tato, tato kaki. 5 alasan trend tato bola mata berbahaya untuk kesehatan kamu. Buat di seluruh bagian tubuh, ...